Субдуральна гематома: наслідки, що варто знати
Коли чуєш про субдуральну гематому, почуття тривоги зроста. Це ж про серйозне, так? І хоча цього не видно ззовні, наслідки можуть бути серйозними і багатогранними… Хоча ми часто чуємо про черепно-мозкові травми, небагато людей дійсно усвідомлюють, що така гематома може означати для життя та здоров’я людини.
Що таке субдуральна гематома?
Спочатку розберемося з основними поняттями. Мозок людини, захований за міцним черепом, захищений різними шарами мембран і рідини. Ці мембрани – як додатковий шар броні, відомі як оболони мозку. Гематома – це скупчення крові, і субдуральна гематома виникає саме під цими оболонами.
Коли відбувається травма… мозок відчуває (неприємний) «удар», і кров утворює скупчення, яке займає простір під твердою оболонкою мозку. Якщо розглядати найпростіший сценарій, кров може започаткувати здавлення мозку, що спричиняє ряд загроз для життя.
Основні причини виникнення субдуральної гематоми
Чесно кажучи, причин може бути безліч, але є дещо, що найчастіше стає їхній головний факто..р:
- Травма. Думаю, нікого не здивує, що на першому місці саме механічні ушкодження. Від падінь до автокатастроф, все це може призводити до субдуральної гематоми.
- Антикоагулянти. Так, медикаменти, які тонізують кров, також можуть зіграти свою цивільну роль. Надмірне застосування – ризик (великий!).
- Вік та зайві хвороби. Чим старіші, тим ризик більший. Серйозно, з віком кожен “малюнок” може викликані крововиливи
.
Все це може призвести до непереможних синців. І перш ніж замислитись… що це означає?
Наслідки субдуральної гематоми
Субдуральна гематома, наслідки котрої можуть бути вкрай серйозними, може призвести до ряду ускладнень:
- Тиск на мозок. Кровоносні судини руйнуються, кров тече, тисне, мозок страждає. Деструктивний процес.
- Неврологічні порушення. Втрата свідомості, параліч, конвульсії – все це може стати невід’ємною частиною життя потерпілого.
- Когнітивні дефіцити. Втрата пам’яті, проблеми з концентрацією, і навіть зміни у поведінці.
І, що ще гірше, перелічені наслідки – це лише початок…
Діагностика та лікування
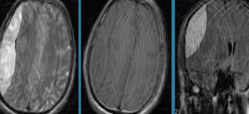
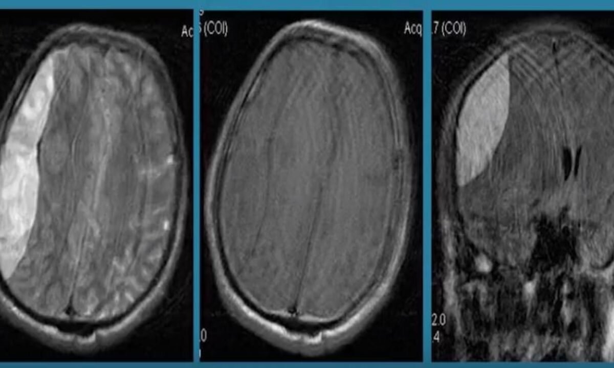
З діагностикою тут важливо діяти швидко. Як щось підозрюєте – звертайтесь до спеціалістів. Просто тримайте це в голові. Використовують рентген, комп’ютерну томографію (КТ) або магнітно-резонансну томографію (МРТ) для оцінки стану. І ось тоді – рішення. Складна операція? Може. Лікарські препарати? Авжеж, але залежить.
Таблиця типів лікування (бо кожна ситуація унікальна):
| Метод лікування | Переваги | Недоліки |
|---|---|---|
| Хірургічне видалення гематоми | Швидке поліпшення стану | Ризики операції |
| Консервативне лікування | Менша інвазивність | Довший період одужання |
Життя після субдуральної гематоми
Жити після… це той виклик, з яким кожен впорається по-своєму. Хіба це просто? Не зовсім! Реабілітація може тривати місяці. Іноді підтримка рідних – єдине, що допомагає. Іноді… самопоміч, бо хто знає себе краще?
Різноманітні терапії – фізична, психологічна, мова… будуть допомагати. Але, без перебільшення, це процес.
Профілактика
Бо простіше запобігти, ніж лікувати, правда? Завжди одягайте шолом під час занять спортом! І нехай це стає звичкою. Не грайтеся з ліками – антикоагулянти спеціально для цього. І обережність у всьому. Це дивно, але іноді здоровий глузд врятує життя!
Висновок? Субдуральна гематома – це не просто стаття з медичного журналу. Це реальність, яка потребує усвідомленості, детальної уваги та рішучості. Бо життя – це більше, ніж ми можемо собі уявити…







