Мультифолікулярні Яєчники: Наслідки та Їх Вплив
Мультифолікулярні яєчники можуть принести чимало несподіванок у життя жінки. Що накопичить різнокольоровий досвід і вплине на різні аспекти — це вже справа індивідуальна, але наслідки часто вражають. Багатьом жінкам цей діагноз знайомий. Але що лежить за ним?
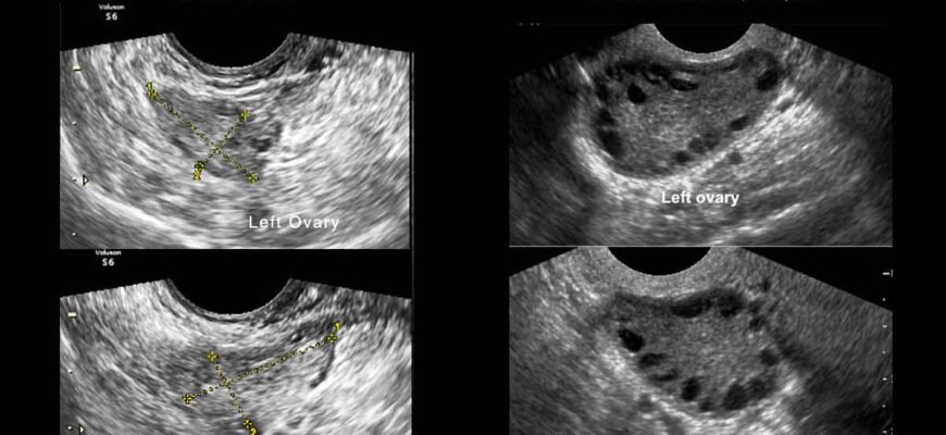
Що Таке Мультифолікулярні Яєчники?
Отже, мультифолікулярні яєчники — це той стан, коли яєчники жінки містять багато фолікулів. Начебто нічого страшного, але проблема не у кількості, а в результаті. Адже з таким “багажем” частенько приходить і нерегулярність менструацій, і зміни в гормональному балансі, і купа інших дрібниць, які втомлюють.
Основні Характеристики та Причини
- Велика кількість фолікулів – більше десяти на кожному яєчнику.
- Гормональні порушення – підвищення рівня андрогенів, які можуть спричиняти акне та ріст волосся в небажаних місцях.
- Нерегулярний цикл – можливі перебої у менструальному циклі відсутність овуляцій.
Причини Виникнення
Чому ж тоді фолікули так бажають “збиратись” на яєчниках? Є теорії про генетику, вплив навколишнього середовища, навіть дієту. Але, чесно, досі це велика загадка. Занурення в будь-яку з цих тем може викликати серйозні роздуми або навіть депресію. Природа все ще не розкрила усі свої карти.
Клінічні Прояви
Іноді може з’явитися відчуття важкості, як ніби щось заважає. Інші жінки відзначають випадкові болі внизу живота. Але, напевно, найголовніше — це нерегулярність або відсутність менструацій. Адже цикл зазвичай є тим самим годинником, за яким жінка орієнтується у своєму житті.
Діагностика
Діагностика — не з легких. Вона вимагає ультразвукового дослідження, аналізу гормонів та інших обстежень. Іноді процес нагадує детективний фільм, де треба зібрати всі шматочки пазлу, щоб дійти до висновку. Надійний гінеколог — ваш кращий друг у цій ситуації.
Лікування
Якщо мова йде про лікування, то тут варто розглянути кілька варіантів:
- Лікарські засоби: Контрацептиви можуть допомогти регулювати цикл, а також зменшити ріст волосся в небажаних місцях.
- Інсуліноподібні препарати: Корекція рівня інсуліну допомагає не лише в лікуванні діабету. І цей підхід здатний поліпшити гормональний баланс.
- Дієта та фізична активність: Збалансоване харчування та активний спосіб життя – це не лише модний тренд. Вони дійсно можуть змінити самопочуття.
- Альтернативна медицина: У деяких випадках зі станом можуть впоратись акупунктура та традиційні методи. Але обережно — завжди слід радитись з лікарем.
Наслідки
Які ж можуть бути наслідки мультифолікулярних яєчників? Отже, нерегулярні менструації можуть стати великим стресом для жінки, що планує вагітність. Зміни в гормональному балансі можуть вплинути й на настрій, викликати депресію. Загалом, в залежності від тяжкості, стан може торкнутись різних сфер життя. І хоча багато хто поєднує діагноз лише з косметичними змінами, насправді все набагато складніше.
Комплекси та Суспільний Стереотип
Безумовно, коли справа доходить до наслідків, без комплексів ніяк. Що сказати, якщо на твоєму тілі з’являється небажане волосся, а обличчя не радує первозданною чистотою? Проте, слід пам’ятати — під всім цим часто ховаються лише соціальні стереотипи, які нав’язують суспільством.
Емоційні Та Психологічні Наслідки
Психологічно — це теж виклик. Тут вже мова йде про прийняття себе, своїх особливостей. Хоч це і звучить певною мірою ідеалістично, але внутрішній спокій і самооцінка часто важливіші, ніж зовнішні прояви. Прийняття себе — то не те, чому тебе можуть навчити. Це те, що ти створюєш у собі сам.
Підтримка та Допомога
І, насправді, одна з найбільших проблем — це брак підтримки. Часто жінкам доводиться стикатись з нерозумінням навіть з боку близьких. Тому ідея створення спільнот та груп підтримки виглядає вкрай важливою. Бо то не просто слова, це життєва потреба.
Резюме
Наостанок, важливо підкреслити: мультифолікулярні яєчники, наслідки їх можуть бути непередбачуваними, іноді навіть важкими. Але кожен випадок — унікальний, і не слід панікувати. Головне — знайти свій шлях та підтримку на ньому. І пам’ятати, що ти не одна.







