- Кисневе голодування мозку: наслідки, що можуть шокувати
- Що таке кисневе голодування мозку?
- Види гіпоксії
- Причини кисневого голодування
- Стрес та його роль
- Найпоширеніші наслідки кисневого голодування мозку
- Нервова система: перша жертва
- Когнітивні порушення
- Діагностика та лікування
- Терапевтичні підходи
- Домашні методи полегшення стану
- Поради
- Висновок
Кисневе голодування мозку: наслідки, що можуть шокувати
Кисневе голодування мозку — наслідки цієї загрозливої ситуації часто можуть бути значно серйознішими, ніж ми собі уявляємо. Розкажу, чому це настільки важливо.
Що таке кисневе голодування мозку?
Отже, гіпоксія. Це слово, що вже само по собі викликає занепокоєння. Уявіть собі, що надиштесь глибоко, а все-одно ваш мозок не отримує достатньо кисню. Це і є гіпоксія.
Види гіпоксії
- Гіпоксична гіпоксія: коли вміст кисню у навколишньому середовищі занадто низький.
- Циркуляторна гіпоксія: проблеми з серцем — кисень не доставляється до органів.
- Тканинна гіпоксія: коли клітини не здатні використовувати кисень.
- Гемічна гіпоксія: знижена здатність крові переносити кисень.
Іноді це лише один вид. Іноді — їх кумуляція. Несмішно, правда?
Причини кисневого голодування
Поговоримо про причини. Це не те, що відбувається просто так. Потрібно щось серйозне. Проблеми з диханням, висотна хвороба, серцеві захворювання… навпаки, наші дії теж: нездорова їжа, постійний стрес — все це грає за кисневе голодування мозку.
Стрес та його роль
Стрес, той підступний шантажист. У підвищених дозах він здатний знизити рівень кисню у крові. Під його впливом наш організм забуває працювати злагоджено. Артерії стискаються, серце калатає, дихання поверхневе… А мозок кричить про допомогу.
Найпоширеніші наслідки кисневого голодування мозку
Чому все так небезпечно? Бо наслідки… Може бути не лише головний біль, але й такі речі, що перевертають життя догори дригом. Давайте подивимось детальніше.
Нервова система: перша жертва
Нервова система чутлива. Капризна. Коли вона не отримує достатньо кисню — тут вже не жартуй. Тут фокуси з пам’яттю, головний біль, запаморочення, навіть втрата свідомості.
Когнітивні порушення
- Зниження пам’яті: уявіть собі, що ви не можете згадати, як вас звати. Страшно? Це може бути нормою при тривалій гіпоксії.
- Порушення уваги: розкриваєте книгу, але очі лише проходять по літер підрядками…
- Емоційна лабільність: від сміху до плачу за секунд 10 — реальність, коли мозок страждає.
Це лише початок…
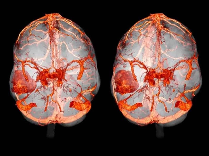
Діагностика та лікування
Як зрозуміти, що біда на порозі? МРТ — чудова річ, без неї нікуди. Вона покаже те, що приховуєсь від нас. А враховуючи дані з цієї статті, ми можемо зрозуміти, наскільки серйозною є ситуація.
Терапевтичні підходи
Лікування залежить від причин. Інколи достатньо змінити спосіб життя, інколи — курс препаратів. Щось може допомогти навіть психотерапія, бо ну, не забуваймо про нашого друга-стресу.
Домашні методи полегшення стану
Не лише лікарі можуть допомогти. Іноді все, що вимагається, це зміни у повсякденному житті.
Поради
- Дихальні вправи: навчись дихати глибоко, це не просто.
- Фізичні вправи: тримай тіло в тонусі.
- Здорове харчування: бо ми те, що ми їмо.
- Контроль стресу: медитація, йога — вибери щось своє.
Висновок
Кисневе голодування мозку наслідки можуть бути катастрофічними. Це не жарти! Треба вчасно реагувати на сигнали організму. Бо життя — це дар, що не підлягає повторному використанню.







