Гнилі зуби наслідки: несподіванки, про які не задумуємось
Гнилі зуби наслідки – це не просто зубний біль або неприємна поява палітри жовтуватих відтінків у ротовій порожнині. Це справжній месидж від тіла про те, що щось пішло не так. Насправді, це як тривожний дзвінок, що сигналізує про наявність серйозних проблем, які можуть впливати на весь організм. Отже, що ж нас очікує, коли ми нехтуємо здоров’ям своїх зубів?
Фізіологічні наслідки

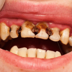
Коли йдеться про гнилі зуби, перше, що спадає на думку – це біль. Але чи справді лише одним болем можна обмежитися? Давайте заглибимося.
- Зубний біль: А як без нього? Він може бути настільки нестерпним, що ви не зможете зосередитися на чомусь іншому.
- Інфекції: Гнилість – це справжнє свято для бактерій, які вже не займають час на запрошення і створюють цілу вечірку…
- Втрата зубів: Якщо не зайнятися лікуванням вчасно, зубам нічого не залишиться, як просто випасти. Сумно, але факт.
- Проблеми з яснами: Запалення, кровотеча, гінгівіт та пародонтит – їх не уникнути.
Це лише верхівка айсбергу. Зрештою, як мовиться, хто не дбає про зуби, плекає проблеми для всього організму.
Вплив на загальний стан здоров’я
Тепер про найгірше. Здавалося б, один зуб – дрібниця, але його гнилі наслідки здатні впливати на увесь організм.
- Серцево-судинні захворювання: Дослідження показують, що інфекції ротової порожнини можуть бути асоційовані з підвищеним ризиком серцевих захворювань.
- Цукровий діабет: Проблеми із зубами можуть ускладнити контроль рівня цукру в крові, створюючи замкнене коло…
- Респіраторні інфекції: Бактерії з рота здатні потрапляти в дихальні шляхи, викликаючи інфекції легенів.
- Проблеми з шлунково-кишковим трактом: Пережовування їжі – важлива частина травлення. Без здорових зубів – неефективне травлення!
Психологічні аспекти
Виглядає ніби дріб’язочно… Але гнилі зуби здатні серйозно зачепити самооцінку. Коли ваші зуби виглядають нездоровими, це може вплинути на вашу впевненість у собі. Ви уникатимете усміхатися на фото, ховатимете зуби навіть під час розмови – все це позначиться на вашій соціальній активності.
- Соціальна ізоляція: Через сором декому може здатися, що легше уникати компаній…
- Знижена впевненість: Коли ви думаєте, що всім навколо вас щось не подобається у вашій усмішці, впевненість просто падає…
- Тривога і депресія: Постійний біль і емоційний дискомфорт здатні спровокувати розвиток психологічних проблем.
Профілактика – краще, ніж лікування!
Отже, невеличка пам’ятка, як уникати цих “гнилі зуби наслідків”:
- Регулярні обстеження у стоматолога: Ходити хоча б раз на півроку. Просто так, на перевірку.
- Щоденна гігієна: Чистіть зуби двічі на день і не забувайте про нитку.
- Здорове харчування: Уникайте надмірного вживання солодощів – цукор для бактерій як “паливо”.
- Жувальна гумка без цукру: Це допоможе видаляти залишки їжі після їжі…
Зубна паста, щітка, стоматолог – нехай стануть вашими друзями. Як не дивно, але ці прості друзі можуть вберегти вас від великих проблем!
Заключення
Гнилі зуби наслідки не варто недооцінювати. Це більше, ніж просто невелика тривога в ротовій порожнині, це можлива серйозна біда для всього організму. Важливо не забувати про догляд за зубами, що насправді не так складно, як може здатися. Це якраз той випадок, коли профілактика є найкращим способом підтримки загального здоров’я та уникнення великих проблем у майбутньому. Бережіть зуби, бо кожен з них – ваш вірний друг.







